Ofis Tipi Diş Beyazlatma ile Anında Sonuçlar
Opalescence™ Boost™ profesyonel diş beyazlatma, diş kliniğinde size hızlı bir şekilde beyaz bir gülüş sunmak için diş hekiminiz tarafından uygulanır! Kimyasal olarak aktive edildiği için sıcak veya rahatsız edici LED diş beyazlatma ışıklarına gerek yoktur ve yalnızca iki veya üç 20 dakikalık uygulamayla daha ışıltılı bir gülümsemeye sahip olursunuz.
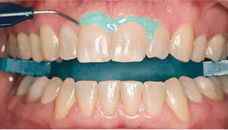
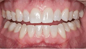
Öncesini görmek için kaydırıcıyı sağa, Opalescence Boost diş beyazlatmanın sunduğu mükemmel sonuçları görmek için sola hareket ettirin!
Opalescence Boost
Diş Beyazlatma Özellikleri:
Opalescence Boost
Diş Beyazlatma Özellikleri:
- Eğitimli bir diş hekimi tarafından diş kliniğinde uzman uygulaması
- Kimyasal olarak aktive edilen beyazlatma, bu demek oluyor ki sıcak, rahatsız edici LED diş beyazlatma ışıklarına ihtiyaç duyulmaz
- Uygulama yapılacak kişinin konforu için diş beyazlatma jelinde potasyum nitrat ve florid bulunur
- Yaklaşık bir saat içinde gözle görülür beyazlatma sonuçları
- Diş kliniğinden çıkar çıkmaz ışıldayan beyaz bir gülümseme
- Vegan—hayvansal ürün içermez
- Gluten free (glütensiz) sertifikalı
Opalescence Boost Diş Beyazlatma Adım Adım Kılavuz
1. Dişlerinizden başlangıç renk tonu alınacaktır.
2. Diş beyazlatma jelinin diş etlerinizi tahriş etmesini önlemek için koruyucu bir bariyer kullanılacaktır.
3. Diş hekiminiz Opalescence Boost diş beyazlatma jelini nazik bir uçla uygulayacaktır.
4. Yaklaşık bir saat içinde sonuçları göreceksiniz!
Daha fazla bilgi için bir diş hekimine danışın.